
Fluoride is a naturally occurring mineral that can be found in water, soil, and even in the air!
Fluoride plays a crucial role in preventing tooth decay for both children and adults by re-mineralizing weakened tooth surfaces. It enhances enamel strength, making it more resilient against acid attacks from food and beverages.
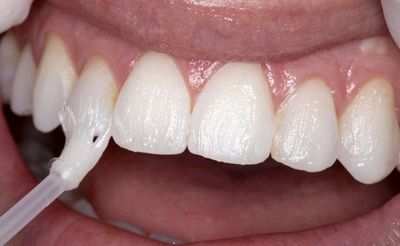
**Application**: Fluoride is applied topically, allowing you to eat and drink afterward. However, it is advisable to avoid hot and crunchy foods for two hours following the application.
Fluoride is commonly discussed in relation to the water we drink. Many cities monitor fluoride levels in drinking water and add it if natural levels are insufficient. Consuming fluoridated water can significantly benefit developing teeth; when ingested during the tooth's growth, the enamel forms stronger and becomes more resistant to decay.
Moreover, fluoride treatments are beneficial for adults as well! While often associated with children, adults can also gain advantages from these treatments. Like children, adults frequently consume sugary and acidic beverages and snacks, leading to weakened enamel. Even if you do not consume these foods and beverages daily it is always advisable to have a fluoride treatment every 6 mo. Prevention again is key, and of the utmost priority at Dental Professionals of Algonquin!
Copyright © 2025 Dental Professional of Algonquin (Premium) - All Rights Reserved.
We use cookies to analyze website traffic and optimize your website experience. By accepting our use of cookies, your data will be aggregated with all other user data.